98.7% Survivorship and High Patient Satisfaction with LDH Monobloc Ceramic-on-Ceramic Systems after 10 Years
Key Findings
High implant survivorship: After a minimum of ten years, the implant survivorship rate stands at an impressive 98.7%, with very low revision rates (1.3%). The reasons for revisions included issues such as trauma and infection. No dislocations or ceramic implant fractures were observed, highlighting the reliability and stability of the LDH CoC bearings.
The study involved a wide range of patients, with ages from 27 to 83 years, demonstrating the system's adaptability for different levels of patient activity and demands.
Patient-Reported Outcomes (PROMs): The WOMAC score reached 90.1, and the Forgotten Joint Score (FJS) was 79.2, showing significant improvements in joint function and quality of life.
No signs of trunnionosis
Frequent but benign noise occurrence. Although 43% of patients reported having eared some noise from their hip, this did not impact their overall outcome, with 100% of the participants expressing their satisfaction with the surgery.
This is a pivotal finding as it illustrates that noises associated with LDH monobloc BIOLOX®delta CoC bearings do not impact the surgical and functional outcomes.
Take Home Messages
The study shows that the utilization of large-diameter head BIOLOX®delta CoC bearings like MAXERA® in THA offers remarkable long-term benefits, including enhanced joint stability and movement, without the common complications associated with smaller diameter or different material bearings.
In this series, this bearing choice has shown to be particularly effective in active patients, providing them with unrestricted activity and excellent functional outcomes in the long term.
While squeaking may occasionally occurs, the results show that it does not compromise the performance of the implant and the overall satisfaction of the patients.
To access the study: The Journal of Arthroplasty (arthroplastyjournal.org)
*MAXERA® is not commercially available anymore. Dr. Vendittoli is now using MONOCER® of Medacta International.
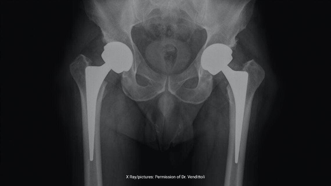
X Ray/pictures: Permission of Dr. Vendittoli
📘 Gautier Beckers et al., Excellent Results of Large-Diameter Ceramic-On-Ceramic Bearings in Total Hip Arthroplasty at Minimum Ten-Year Follow-Up
Open Access Published: June 21, 2024 DOI: The Journal of Arthroplasty (arthroplastyjournal.org)
